Site icon Прецедент TV

В Новосибирске 9-летний ребенок вдохнул канцелярскую кнопку

В Новосибирске 9-летний ребенок вдохнул канцелярскую кнопку

Фото: Министерство здравоохранения Новосибирской области

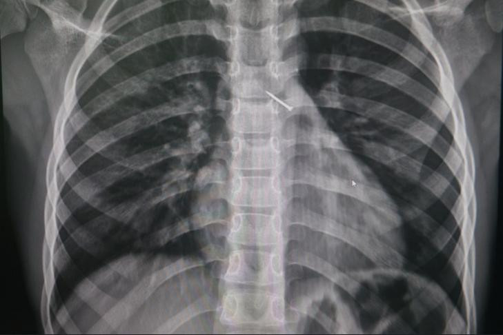
В больницу обратились родители мальчика, которые сообщили, что у их сына болит в груди и он не может глубоко вдохнуть.

В министерстве рассказали, что мальчик поступил в больницу в стабильном состоянии. Однако ребёнку было больно, вдохнуть глубоко он не мог из-за острого предмета внутри.

Обследование показало, что канцелярская кнопка попала в бронхи, уперлась в одну из стенок и вызывала локальное воспаление. Опасный предмет успешно достали с помощью эндоскопических зажимов, — говорится в сообщении министерства здравоохранения Новосибирской области.

Несколько дней юный новосибирец находился под динамическим наблюдением. Мальчику понадобилась ингаляционная терапия. Ребенка выписали спустя четыре дня полностью здоровым.

Ранее «Прецедент» сообщал, что в Новосибирске в 2023 году достроят три поликлиники по ГЧП. Редакция также писала о том, как в Новосибирске женщина родила ребенка на плановом приеме у гинеколога. Читайте также материал о том, что в Новосибирске спасли 46-летнего пациента с гигантским тромбом в сердце. 

Оксана ФЕДОРОВА

Exit mobile version