Site icon Прецедент TV

Новосибирские хирурги спасли позвоночник 12-летнему мальчику из Тывы

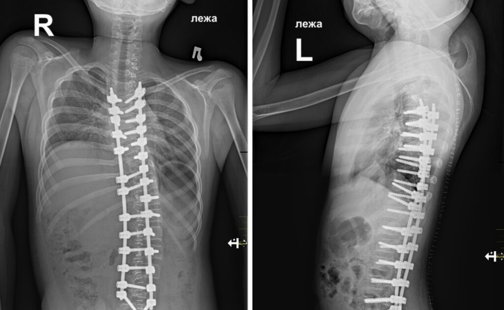
Фото: НИИТО им. Цивьяна

В Новосибирском НИИТО им. Цивьяна прооперировали 12-летнего мальчика из Тывы с тяжелой травмой позвоночника, полученной в результате ДТП. Об этом сообщает официальный сайт учреждения 16 апреля.

В страшную аварию семья ребенка попала 10 лет назад – в 2015 году. С тех пор мальчик передвигается в инвалидной коляске, деформация его позвоночника достигла критических 143 градусов. При таком искривлении человек не может не то что ходить, но даже сидеть.

Хирурги вмонтировали в позвоночник металлоконструкцию, благодаря которой удалось скорректировать искривление до 32 градусов. При исходных 143 градусах это хороший результат.

Если все будет хорошо, то через полгода подростку предстоит вторая операция, направленная на исправление вывиха бедра. Тогда у него появятся шансы встать с инвалидного кресла.

Ранее «Прецедент» писал: новосибирские хирурги спасли женщину с редкой деформацией черепа. Читайте также: первую уникальную операцию по коррекции редкой болезни провели в Новосибирске.

Exit mobile version