В Новосибирской области профосмотр перед трудоустройством спас жить 17-летнему парню, у которого развился гидронефроз почки. Об этом сообщили в пресс-службе регионального Минздрава 18 февраля.
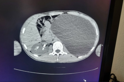
Парень проходил УЗИ по направлению компании, в которую он пытался трудоустроиться. Медики обнаружили объемное образование в брюшной полости, а именно расширение полости почки. В любую секунду орган мог разорваться.
При этом сам юноша и не догадывался о своём недуге. Он чувствовал себя хорошо, на здоровье не жаловался.
— У нашего пациента почка достигла размеров пятилитровой бутылки! Она занимала почти весь объем живота и давила на все соседние органы. Это была настоящая «бомба замедленного действия»: любая травма, случайный удар в живот – и мешок мог разорваться внутри, – рассказали в ДГКБ № 1.
В итоге парню удалили орган. В данный момент сибиряк идет на поправку.
Ранее мы писали о том, что врачи спасли ребенка с бьющимся как у птицы сердцем. Читайте также: онкологи научат искусственный интеллект диагностировать рак.

Comment section